Breaking News
  • Editor's Top Picked Article Vol 20(1), Jan 2025 issue
  • Important Announcement : APC
  • Editor's Top Picked Article Vol 18(2), 2023
  • Editor's recommended article Vol 18(1), 2023
Home

Main navigation

  • Home
  • About
    • About Us
    • Aim and scope
    • Editorial Board
    • Editorial Policies and Ethics
    • Fee policy
    • Browse Issues
  • Issues

    CURRENT ISSUE

    Vol. 21 No. 3 (suppl) : 2026
    BRIOWSE ISSUES

    Latest Issues

    • 10th International Virtual Medical Research Symposium
      Issue 02 Mar, 2026
      Vol. 21 No. 3 (suppl) : 2026
    • Medicine & Health
      Issue 29 Jan, 2026
      Vol. 21 No. 1 : 2026
    • 17TH Medical Undergraduates' Annual Scientific Research Meeting
      Issue 08 Jan, 2026
      Vol. 21 No. 2 (suppl) : 2026
    • World Ethics Day Symposium
      Issue 07 Jan, 2026
      Vol. 21 No. 1 (suppl) : 2026
    • 2nd Artificial Intelligence & Medical Education
      Issue 31 Dec, 2025
      Vol. 20 No. 11 (suppl) : 2025
    more issues

    FEATURED

    AIMEC
    30 Dec, 2024

    Vol. 19 No. 9 (suppl) : 2024

  • For Authors
    • Guidelines for Authors
    • Keyword guideline (MeSH)
    • Submit Manuscript
  • For reviewer
    • Peer Review Process
  • Contact

Menu second

  • About
  • Issues
  • Gallery

Breadcrumb

  1. Home  / 
  2.  / 
  3. Vol. 20 No. 2 : 2025

Vol. 20 No. 2 : 2025

IN THIS ISSUE

Review Article Page 416 - 431
Exploring Global Food Insecurity and Obesity among Children Under Five Years: A Scoping Review


Review Article Page 432 - 452
Effectiveness of COMBI in Dengue Prevention and Control and Participation Factor: A Systematic Review in Malaysia


Review Article Page 453 - 469
Diagnosis Delay of Diffuse Parenchymal Lung Disease and its Associated Factors - A Scoping Review


Review Article Page 470 - 492
Factors Influencing HIV PrEP Acceptance and Use among At-Risk Populations in Southeast Asia: A Systematic Review


Review Article Page 493 - 509
Social Skills Training Using Virtual Reality in High Functioning Autism Spectrum Disorder: A Systematic Review


Microscopic appearance of ventral diencephalon stained with H & E (left) and cresyl violet (right) in different treated groups. A and V: normal group; B and W: negative (MPTP-treated) group; C and X: LD (25 mg/L) group; D and Y: MD (50 mg/L) group and E and Z: HD (100 mg/L) group
Original Article Page 510 - 524
Therapeutic Potential of Alkaloid-rich Mitragyna speciosa Extract in MPTP-Induced Zebrafish Parkinson’s Disease Model


This showed oocytes denudation process. (A) Cumulus Oocytes Complex prepared for mechanical denudation without enzyme; (B) Cumulus Oocytes Complex enzymolysed in hyaluronidase; (C) “Naked” oocytes following enzymolysed in hyaluronidase – clean edge; (D) “Naked” oocytes following mechanical denudation – minimal cumulus cell at the edge
Original Article Page 525 - 545
Comparison of Cumulus Cells Preparation among Diminished Ovarian Reserved and Normal Ovarian Reserved Women for RNA Extraction and Review of Literature


Macroscopic view of wounds of rat experimental groups: NC, VC, ST and CE against treatment day 0, 3, 6, 9, 10, 11, 12 and 13. Normal group without treatment (NC), vehicle dressing (VC), povidone-iodine ointment dressing as standard treatment (ST) and 2.0% of C. zeylanicum extract dressing (CE). Scale bar was 20 u.
Original Article Page 546 - 561
Evaluation of Wound Healing, Antioxidant and Antimicrobial Effects of Cinnamomum zeylanicum Extracts: In Vivo and In Vitro Approaches


Original Article Page 562 - 572
Quality of Life Evaluation among Overweight and Obese Staffs at Universiti Kebangsaan Malaysia


Summary of the themes that emerged regarding the experience of smokers setting a quit date
Original Article Page 573 - 587
A Qualitative Exploration of Smoker’s View of Smoking Cessation and Setting of a Quit Date


FIGURE 1: Breathing exercise protocol
Original Article Page 588 - 599
Development and Pilot Trial of Mixed Exercise Programme for Hypertensive Individual: Breathing Exercises and Bodyweight HIIT


Original Article Page 600 - 611
Psychometric Evaluation of the Reminiscence Functions Scale in the Malay Language for Older Adults


Original Article Page 612 - 623
Comparing Breastfeeding Outcomes in Mothers Conceiving via Assisted Reproduction versus Spontaneous Conception: A Retrospective Cohort Study


Development of the e-health video using the design and development research (DDR) approach
Original Article Page 624 - 636
A Design and Development Research Approach to Developing an E-Health Intervention for Individuals with Breast Cancer: A Study Protocol


Original Article Page 637 - 657
Implementation of Clinical Pathway to Diagnose Diffuse Parenchymal Lung Disease


Original Article Page 658 - 666
Vestibulotoxicity Assessment using Video Head Impulse Test (v-HIT) in Cancer Patients Receiving Platinum-Based Chemotherapy at Hospital Canselor Tuanku Muhriz


Analysis of miRNA expression profile with metformin treatment in high glucose-induced HUVECs (¬n = 3) (A) The differential expression of miRNAs in high glucose-induced HUVECs treated with metformin, showing both up-regulated (red) and down-regulated (blue) miRNAs; (B) a volcano plot displaying the fold change of miRNA expression in the samples (log2 fold change) with their statistical significance (-log10 (p-value)), color-coded to distinguish the significantly upregulated (red), downregulated (blue), and n
Original Article Page 667 - 685
Metformin Alters the MicroRNA Profile of High Glucose-Induced Human Umbilical Vein Endothelial Cells


(A) K-Force® Grip dynamometer and Baseline® Grip dynamometer; (B) Grip strength; (C) Grip strength assessment with the Baseline® Grip dynamometer
Original Article Page 686 - 692
Investigation of the Validity and Reliability of the K-Force® Grip Dynamometer in the Evaluation of Hand Grip Strength in Individuals with Carpal Tunnel Syndrome


All K+ levels are in mmol/L. *RAAS-i = ACE-i/ARB, ARNI and MRA. [ACE-i: angiotensin-converting enzyme inhibitor; AKI: acute kidney injury; ARB: angiotensin II receptor blocker; ARNI: angiotensin receptor-neprilysin inhibitor; CKD: chronic kidney disease; CPS: calcium polystyrene sulfonate; ECG: electrocardiogram; ED: emergency department; HF: heart failure; K+: potassium; MRA: mineralocorticoid receptor antagonist; NSAID: non-steroidal anti-inflammatory drug; PO: orally; TDS: three times daily; RAAS-i: reni
Original Article Page 693 - 709
Executive Summary of the Malaysian Consensus on the Management of Acute and Persistent Hyperkalaemia: A Multidisciplinary Approach


Original Article Page 710 - 722
Factors Associated with Electroencephalographic Epileptiform Abnormalities in Epilepsy Patients: A Cross-sectional Study


Cumulative overall temperature effects on all-cause mortality at different lag periods for Kedah states. The DLNM cross basis functions with 3 df for the temperature and 4 df for the lag dimension. The reference was at the minimum mortality temperature (MMT). Blue lines were the cumulative RR, and the dotted lines are 95% confidence interval. (a) Lag 0-3 (a) and (b) 0-7: J-shaped pattern; (c) lag 0-14: U-shaped pattern; (d) lag 0-21 and (e) 0-28: L-shaped pattern
Original Article Page 723 - 739
Temperature Related Mortality in A Tropical Climate Country: A Time Series Analysis


Mental health status of caregivers
Original Article Page 740 - 753
Caregivers’ Burden of Patients with Severe Mental Illnesses: A Cross-sectional Study


Lifespan assay of C. elegans in control and DR groups
Original Article Page 754 - 763
Effect of Dietary Restriction on the Healthspan of Caenorhabditis elegans


Haematoxylin and Eosin (H&E) staining of the testis sections for each experimental group. Figures were recorded under 10x magnification. (A) Control; (B) EBN; (C) Wi-Fi 1; (D) Wi-Fi 2; (E) EBNW group. S represented spermatozoa; GC represented germinal epithelium; ■ represented a normal arrangement of seminiferous tubule; ▲represented detachment/free spaces of the cells from the basement membrane; ● showed pink edematous lesion (shading different in Figure 1B to 1E)
Original Article Page 764 - 775
Testicular Morphological Alterations in 2.45 GHz Wi-Fi Exposed Rat Pups and The Mitigating Effects of Edible Bird Nest


Caries and impacted MTM impaction: (1) Distal caries on MSM; (2) The depth and space of MTM was determined by the Pell & Gregory classification method; (3) The Shiller classification applied in determining the angulation of impacted third molar; (4) The distance between the distal CEJ of the MSM and mesial CEJ of the MTM was calculated as described in Leone classification
Original Article Page 776 - 787
The Incidence of Mandibular Second Molar Distal Caries Associated with Impacted Mandibular Third Molar: A Retrospective Study and Management Guidelines


Themes and subthemes of the challenges in regulating emotion
Original Article Page 788 - 804
Challenges in Regulating Emotion among Malaysian Adolescents: A Qualitative Secondary Data Analysis


CTA showing tortuosity of right extracranial ICA at level C2 (white arrow)
Case Report Page 805 - 810
Unilateral Pulsatile Tinnitus in Young Female Adults: A Report of Two Cases


Photo of case 1 showed right eye redness, proptosis and temporal scalp swelling
Case Report Page 811 - 818
Confronting Orbital Metastasis of Renal Cell Carcinoma – Retrospective Case Series


ERC traumatic cardiac arrest/ peri-arrest algorithm
Case Report Page 819 - 823
Return of Spontaneous Circulation in Traumatic Cardiac Arrest Achieved by Traumatic-Based Resuscitation – A Case Report


Abdominal ultrasound showed a large lobulated hyperechoic mass occupying abdomen and pelvis (black arrowhead)
Case Report Page 824 - 828
Paediatric Mesenteric Lipoblastoma: A Remarkable Rarity


Tracheal dehiscence (white arrow) and surrounding slough just above the tracheostomy tube.
Case Report Page 829 - 833
Montgomery T-tube to Bypass Tracheal Dehiscence: UiTM Experience


Foreign bodies in the stomach and transverse colon on abdominal X-ray
Case Report Page 834 - 837
Successful Conservative Management of Multiple Spoons Ingestion in a Psychiatric Patient - An Unusual Case Report


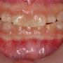
Anterior view of the dentition before treatment
Case Report Page 838 - 844
Comprehensive Dental Rehabilitation of an Osteogenesis Imperfecta Child with Dentinogenesis Imperfecta Type 1


Case Report Page 845 - 848
Silent Danger of Quetiapine Overdose Leading to Rhabdomyolysis: A Case Report


Case Report Page 849 - 854
Understanding Neuroleptic Malignant Syndrome: Lessons from a Near-Miss Case


Latest technique Page 855 - 862
Enhancing Nurse Empowerment Through Dynamic xMOOCs using the 4D Developmental Model


Special Communication Page 863 - 867
A New Era in Sports with the Emergence of Transgender-ism


Med Health 20(2), 2025

ISSUES

  • 2006 (1)
  • 2007 (2)
  • 2008 (3)
  • 2009 (2)
  • 2010 (2)
  • 2011 (3)
  • 2012 (2)
  • 2013 (2)
  • 2014 (2)
  • 2015 (2)
  • 2016 (2)
  • 2017 (4)
  • 2018 (4)
  • 2019 (3)
  • 2020 (3)
  • 2021 (5)
  • 2022 (6)
  • 2023 (11)
  • 2024 (11)
  • 2025 (13)
  • 2026 (4)

Recent Articles

  • 01
    10th International Virtual Medical Research Symposium
  • 02
    Iatrogenic Tracheal Injury During Hemithyroidectomy: A Case Report
  • 03
    Fatal Wilkie’s Syndrome Complicated by Aspiration Pneumonia in an Adolescent with Autism: A Case Report
  • 04
    Recurrent Kimura Disease of the Submandibular Region After Prolonged Remission to Radiotherapy and Its Challenges
  • 05
    Retropharyngeal Abscess with a Missed Migrating Foreign Body: A Case Report
  • 06
    Gartner’s Duct Cyst Impersonating Prolapse: A Case Report

Contact info

Secretariat of Research & Innovation, Faculty of Medicine Universiti Kebangsaan Malaysia
Level 6, Preclinical Building,
Jalan Yaacob Latif,
Bandar Tun Razak,
56000 Cheras
  • Kuala Lumpur, Malaysia
  • 03-91458798
  • medhealthukm@gmail.com

Explore

  • About Us
  • Advertise
  • Terms & Conditions
  • Privacy Policy
  • Careers
  • News

Guidelines

  • Author guidelines
  • Keyword guideline (MeSH)
  • Reviewer Guidelines

Newsletter subscription

Subscribe to our newsletters. Never miss an issue or our latest news.
The subscriber's email address.
Manage existing

User login

"Start your submission journey and see your research make a greater impact."

© Copyright Medicine and Health UKM 2025. All Rights Reserved.