Therapeutic Potential of Alkaloid-rich Mitragyna speciosa Extract in MPTP-Induced Zebrafish Parkinson’s Disease Model

Parkinson's Disease and Mitragyna speciosa
Vol. 20 No. 2 : 2025 (510-524)

Genevieve Simboh Anak Umbar Genevieve Simboh Anak Umbar
Farhanah Edora Mohamed Kasturi Farhanah Edora Mohamed Kasturi
Abd Rashid Li Abd Rashid Li
Nor Hidayatul Khamariah Zainul Abidin Nor Hidayatul Khamariah Zainul Abidin
 Hussin Muhammad Hussin Muhammad
Imrana Jazuli Imrana Jazuli
Yatinesh Kumari Yatinesh Kumari
Azlina Zulkapli Azlina Zulkapli
 Muhammad Danial Che Ramli Muhammad Danial Che Ramli

Abstract
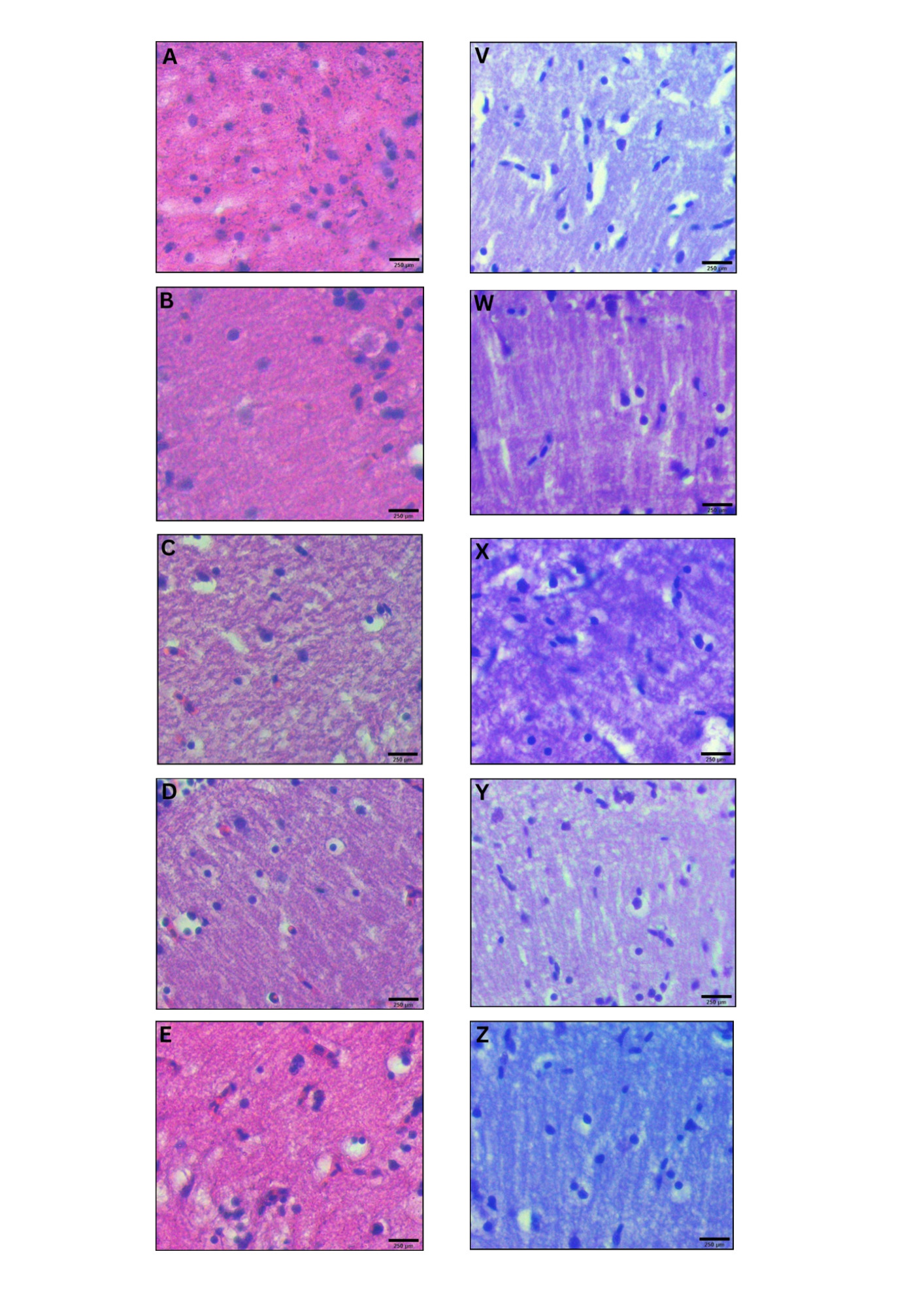
Parkinson’s disease (PD) is a neurological condition affecting the motor functions of the brain, characterised by the degeneration of dopaminergic neurons in the substantia nigra pars compacta region. The primary symptoms include dyskinesia, bradykinesia and resting tremors. This study investigated the potential impacts of Mitragyna speciosa or known as kratom on zebrafish with PD. 1-methyl-1,2,3,6-tetrahydropyridine (MPTP) solution was administered intraperitoneally to zebrafish to develop Parkinson’s symptoms in 2 to 3 days, followed by three concentrations treatment of kratom, for 28 days. On day 28, locomotor behaviour was evaluated to determine the duration spent in the top, middle, and bottom zones, total distance travelled and swimming speed. Then, the zebrafish were euthanised and preserved in a 10% formalin solution. Fixed zebrafish were processed and embedded in paraffin blocks for haematoxylin and eosin, and cresyl violet staining. The results of treatment groups showed that kratom had a neuroprotective impact, increasing time spent from bottom to top zone, distance travelled and swimming speed compared to the negative group. Moreover, the treatment groups experienced a rise in neuron regeneration and an enhancement in neuron appearance following a 28-day exposure to kratom. In conclusion, kratom shows promise as a potential treatment for PD by effectively reducing symptoms and improving movement.
Keywords : Anti-inflammatory; Mitragyna speciosa; MPTP; parkinson’s disease; zebrafish,
Abstrak
Penyakit parkinson adalah keadaan saraf neurologi yang mempengaruhi fungsi motor otak yang dicirikan oleh degenerasi neuron dopaminergik pada bahagian substantia nigra pars compacta. Gejala utama penyakit ini termasuklah diskinesia, bradikinesia dan gegaran berehat. Kajian ini dijalankan untuk menyiasat potensi kesan kratom terhadap ikan zebra dengan penyakit parkinson yang dihasilkan. 1-methyl-1,2,3,6-tetrahydropyridine (MPTP) diberikan secara intraperitoneal kepada ikan zebra untuk mewujudkan gejala parkinson dalam tempoh 2 hingga 3 hari, diikuti dengan rawatan tiga kepekatan Mitragyna speciosa yang berbeza selama 28 hari. Pada hari ke-28, tingkah laku lokomotor dinilai untuk menentukan tempoh masa yang dihabiskan di tiga zon yang berbeza iaitu zon atas, tengah dan bawah, jumlah jarak perjalanan dan kelajuan berenang. Kemudian, ikan zebra dimatikan dan diawet dalam larutan formalin 10%. Seterusnya, ikan zebra diproses dan dibenamkan dalam blok parafin untuk pewarnaan hematoksilin & eosin dan Cresyl Violet. Keputusan kumpulan rawatan menunjukkan bahawa kratom mempunyai kesan neuroprotektif, meningkatkan masa yang dihabiskan dari zon bawah ke zon atas, jarak perjalanan dan kelajuan berenang berbanding kumpulan negatif. Selain itu, kumpulan rawatan mengalami peningkatan dalam penghasilan semula neuron dan peningkatan dalam penampilan neuron berikutan rawatan selama 28 hari menggunakan kratom. Kesimpulannya, kratom menunjukkan potensi besar sebagai rawatan alternatif untuk penyakit parkinson dengan mengurangkan gejala secara berkesan dan meningkatkan pergerakan lokomotor.
Kata Kunci : Anti-radang; ikan zebra; Mitragyna speciosa; MPTP; penyakit parkinson,

Correspondance Address
Muhammad Danial bin Che Ramli. Faculty Health and Life Sciences, Management & Science University, University Drive, Off Persiaran Olahraga, 40100 Shah Alam, Selangor, Malaysia. Tel: +6013 696 9173 Email: muhddanial_cheramli@msu.edu.my


Microscopic appearance of ventral diencephalon stained with H & E (left) and cresyl violet (right) in different treated groups. A and V: normal group; B and W: negative (MPTP-treated) group; C and X: LD (25 mg/L) group; D and Y: MD (50 mg/L) group and E and Z: HD (100 mg/L) group