Breaking News
  • Editor's Top Picked Article Vol 20(1), Jan 2025 issue
  • Important Announcement : APC
  • Editor's Top Picked Article Vol 18(2), 2023
  • Editor's recommended article Vol 18(1), 2023
Home

Main navigation

  • Home
  • About
    • About Us
    • Aim and scope
    • Editorial Board
    • Editorial Policies and Ethics
    • Fee policy
    • Browse Issues
  • Issues

    CURRENT ISSUE

    Vol. 21 No. 1 : 2026
    BRIOWSE ISSUES

    Latest Issues

    • Medicine & Health
      Issue 29 Jan, 2026
      Vol. 21 No. 1 : 2026
    • 17TH Medical Undergraduates' Annual Scientific Research Meeting
      Issue 08 Jan, 2026
      Vol. 21 No. 2 (suppl) : 2026
    • World Ethics Day Symposium
      Issue 07 Jan, 2026
      Vol. 21 No. 1 (suppl) : 2026
    • 2nd Artificial Intelligence & Medical Education
      Issue 31 Dec, 2025
      Vol. 20 No. 11 (suppl) : 2025
    • Regional Congress of The Perinatal Society of Malaysia
      Issue 17 Dec, 2025
      Vol. 20 No. 10 (suppl) : 2025
    more issues

    FEATURED

    medhealth
    20 Jan, 2025

    Vol. 20 No. 1 : 2025

  • For Authors
    • Guidelines for Authors
    • Keyword guideline (MeSH)
    • Submit Manuscript
  • For reviewer
    • Peer Review Process
  • Contact

Menu second

  • About
  • Issues
  • Gallery

Breadcrumb

  1. Home

Understanding Neuroleptic Malignant Syndrome: Lessons from a Near-Miss Case

Case Report 21 Jul, 2025

Mohd Sharifuddin Che Omar

  • Read more about Mohd Sharifuddin Che Omar

Chuang Jia Yun

  • Read more about Chuang Jia Yun
Silent Danger of Quetiapine Overdose Leading to Rhabdomyolysis: A Case Report
Case Report 21 Jul, 2025

Ahmad Shuhud Irfani Zakaria

  • Read more about Ahmad Shuhud Irfani Zakaria

S. Nagarajan M.P. Sockalingam

  • Read more about S. Nagarajan M.P. Sockalingam
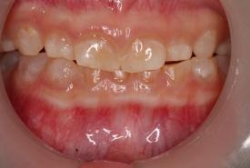
Comprehensive Dental Rehabilitation of an Osteogenesis Imperfecta Child with Dentinogenesis Imperfecta Type 1
Case Report 21 Jul, 2025

Mohd Fadhil Ahmad Nazlan

  • Read more about Mohd Fadhil Ahmad Nazlan
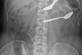
Successful Conservative Management of Multiple Spoons Ingestion in a Psychiatric Patient - An Unusual Case Report
Case Report 21 Jul, 2025

Syarifah Nafisah Syed Hamzah

  • Read more about Syarifah Nafisah Syed Hamzah

Pagination

  • First page « First
  • Previous page ‹ Previous
  • …
  • Page 21
  • Page 22
  • Page 23
  • Page 24
  • Current page 25
  • Page 26
  • Page 27
  • Page 28
  • Page 29
  • …
  • Next page Next ›
  • Last page Last »
Subscribe to

Recent Articles

  • 01
    Iatrogenic Tracheal Injury During Hemithyroidectomy: A Case Report
  • 02
    Fatal Wilkie’s Syndrome Complicated by Aspiration Pneumonia in an Adolescent with Autism: A Case Report
  • 03
    Recurrent Kimura Disease of the Submandibular Region After Prolonged Remission to Radiotherapy and Its Challenges
  • 04
    Retropharyngeal Abscess with a Missed Migrating Foreign Body: A Case Report
  • 05
    Gartner’s Duct Cyst Impersonating Prolapse: A Case Report
  • 06
    Homonymous Hemianopia Associated with COVID-19 Vaccination

Contact info

Secretariat of Research & Innovation, Faculty of Medicine Universiti Kebangsaan Malaysia
Level 6, Preclinical Building,
Jalan Yaacob Latif,
Bandar Tun Razak,
56000 Cheras
  • Kuala Lumpur, Malaysia
  • 03-91458798
  • medhealthukm@gmail.com

Explore

  • About Us
  • Advertise
  • Terms & Conditions
  • Privacy Policy
  • Careers
  • News

Guidelines

  • Author guidelines
  • Keyword guideline (MeSH)
  • Reviewer Guidelines

Newsletter subscription

Subscribe to our newsletters. Never miss an issue or our latest news.
The subscriber's email address.
Manage existing

User login

"Start your submission journey and see your research make a greater impact."

© Copyright Medicine and Health UKM 2025. All Rights Reserved.