• Hello Visitor!
  • Log In or Register
  • Home
  • My profile
Medicine & Health
  • Home
  • About
    • About M&H
    • Aims and Scope
    • Editorial Board
    • Reviewers
  • Issues
    • Current Issue
    • Browse Archive
    • Search
  • Article In Press
  • For Authors
    • Instruction To Authors
    • Online Submission
  • For Reviewers
    • Instruction To Reviewers
  • Contact
  • Reviewer Agreement Form
  • Search issue

MEDICINE & HEALTH

About

  • Aims and Scope
  • Editorial Policies and Guidelines
  • Editorial Board

Issues

  • Current Issue
  • Browse Archive

For Authors

  • Guidelines for Authors
  • Submit manuscript
  • Keyword guideline (MeSH)
  • Guidelines for online submission

For Reviewers

  • Review Comments Form
  • Reviewer Agreement Form
  • Guide for Reviewer

Related Links

  • Universiti Kebangsaan Malaysia
  • UKM Medical Centre
  • Centre for Research and Instrumentation Management
  • Centre for Graduate Management
Home
Share |

laser

Peripheral Nerve Treatment
Article | June 28, 2022 - 11:51am | By NGEOW WC, CHOON YF, CHAI WL, TAN CC, LIM D
Related Terms:
cryotherapy
laser
peripheral neurectomy
trigeminal neuralgia
Review article
krioterapi
laser
neuralgia trigeminal
neurektomi periferi
Bilateral Retinal Vasculitis
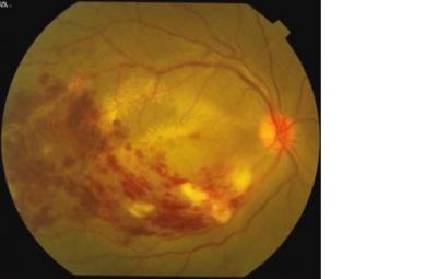
Article | November 26, 2013 - 11:58am | By UMI KALTHUM MN, NORFARIZAL A, RONA ASNIDA N, AYESHA MZ, JEMAIMA CH
Figure 1: Photograph of the fundus of the right (a) and left (d) eyes showing severe vasculitis and macular oedema (arrow), with corresponding macular elevation on OCT macula (c and f). Photos (b) and (e) show the scan cut at which macula elevation is seen.
Related Terms:
blurring of vision
fluorescein angiography
laser
Case report
angiografi fluorescein
kehilangan penglihatan
laser
  • Home
  • Current Issues
  • Archive
  • For Authors
Get the main site RSS feed