Share |

Kanser payudara

Mapping Breast Cancer Research in Malaysia
Figure 1: The flow of the analysis in this study.
Life Exp and Cope Mech BRCA Urban MY Hosp: QUAL
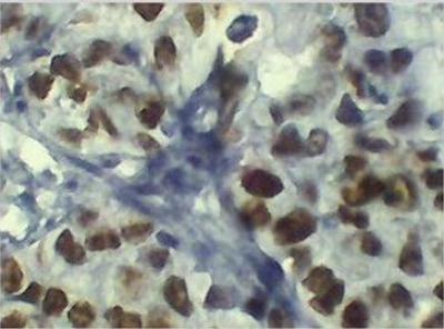
Expression of p53 Protein in Women within the Premenopausal Age
Figure 1: Positive (IHC) detection of p53 protein (A-D). Tissue with crisp brownish nuclear precipitatation of p53 protein overexpression; (A) S0045164, magnification x40, (B) S004776, magnification x10. (C) S0048960, magnification x10, and (D) S0047962, magnification x40
Genetic markers in breast cancer
Importance of Knowing Potential for Cure
Table 1: Characteristics of socio-demographic variables for newly diagnosed breast cancer (n=100)
Breast Self Examination: To Do or Not To Do?